Ультразвуковые исследования (УЗИ) для диагностики болезней суставов
Сегодня для диагностики воспалительных и травматических повреждений костно-мышечной системы применяют различные методы визуализации. Без сомнения, магнитно-резонансная томография является одним из самых эффективных способов исследования мягких тканей, костей и суставов, обеспечивая практически всю полноту диагностической информации. Однако, высокая стоимость такого исследования, относительно малое число МР-томографов, наличие противопоказаний к процедуре существенно ограничивают применение этого метода на практике.
Благодаря новым высокоинформативным ультразвуковым приборам, в которых используются достижения современных компьютерных технологий, ультразвуковое исследование (УЗИ) становится самым подходящим методом для быстрой, доступной и информативной диагностики изменений как в мягких тканях, так и в суставах.
К немногочисленным недостаткам УЗИ относят оператор-зависимость процедуры и невозможность оценки костной ткани.
С помощью нового поколения широкополосных высокочастотных датчиков с высокой плотностью элементов обеспечивается высочайшее точечное разрешение на диагностических изображениях соединительной ткани. Стало возможным достоверно отобразить структуру коллагеновых волокон, которые являются базовой основой мышц, связок и сухожилий. Получаемые сегодня ультразвуковые сканы связок, сухожилий, хрящевой ткани и мышц, в том числе панорамные снимки, сопоставимы с анатомическими препаратами. А современные допплеровские методики обеспечивают возможность оценки сосудистой реакции в исследуемой области.

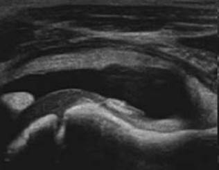
Рис. 1. Выпот в полости сустава, утолщение синовиальной оболочки
Наиболее значимыми зонами ультразвукового исследования опорно - двигательного аппарата следует считать: тазобедренный сустав, коленный и голеностопный суставы. Также возможно провести комплексное исследование стопы. Пяточная область может быть осмотрена изолированно при наличии четких показаний или в комплексе голеностоп- стопа.
Исследование верхней конечности включает: УЗИ плечевого сустава, локтевого и лучезапястного суставов. Комплексное исследование суставов кисти включает УЗИ лучезапястного, межзапястных, пястно-фаланговых и межфаланговых суставов
При эхографии можно обнаружить воспалительные, дегенеративно-дистрофические и травматические изменения в суставах. Оценивается, во-первых, контур кортикальной поверхности сочленяющихся костей. Можно выявить как «плюс-ткань» -костные разрастания в виде остеофитов, так и «минус-ткань» -эрозии, кистовидные просветления. Во-вторых, оценивается полость сустава, наличие в ней избытка жидкости и наличие внутрисуставных включений; толщина, структура и степень васкуляризации синовиальной оболочки. Кроме того, в крупных суставах оценивается состояние гиалинового хряща. Внутрисуставные структуры, например, мениски при их наличии. И параартикулярные мягкие ткани – связки, сухожилия, сумки, и мышцы.
Зачастую может быть обнаружен выпот в полости того или иного сустава (рис. 1).
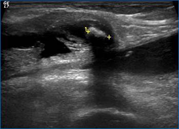
Помимо жидкостного компонента различной эхоплотности могут быть выявлены хондроматозные включения в полости, в просторечьи «суставные мыши» (рис.2).

Рис. 2. Хондроматозное включение в полости сустава
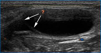
Частой случайной находкой может быть так называемая киста Бейкера (рис. 3), которая по сути представляет собой выпот в заднем завороте коленного сустава.

Рис. 3. Киста Бейкера
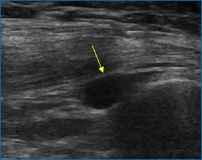
Спавшаяся киста и киста небольшого размера может не вызывать беспокойства у пациента (рис.4).

Рис. 4. Киста Бейкера («спавшаяся»)
В то время как крупная киста, киста с разрывом капсулы (рис. 4,5) может клинически имитировать острый тромбоз вен нижней конечности.

Рис. 4. Киста Бейкера (ультразвуковая картина разрыва капсулы)

Рис. 5. Киста Бейкера (МРТ- картина разрыва капсулы)
Помимо собственно суставной патологии, у пациента с болевым синдромом и отеком параартикулярной области можно выявить признаки так называемой энтезопатии.
Энтазис-область между костной поверхностью и сухожилием, связкой или капсулой в месте прикрепления. Воспалительные изменения в этой зоне –энтезит или энтезопатия. Энтезопатия может сопровождаться бурситом, который достоверно можно определить при УЗИ.
Например, вертельный бурсит – воспалительные изменения в сумке области большого вертела бедренной кости (рис. 6).

Рис. 6. Вертельный бурсит
Бурсит сухожилий так называемой «гусиной лапки» по медиальной поверхности коленного сустава (рис. 7 а,б).

Рис. 7 а. Бурсит сухожилий так называемой «гусиной лапки» (клиническая картина)
Рис. 7 б. Бурсит сухожилий так называемой «гусиной лапки» (ультразвуковая картина)
При дифференциальной диагностике тромбоза вен нижних конечностей важно помнить о таких заболеваниях как ахиллобурсит (рис.8).
Рис. 8. Ахиллобурсит (клиническая картина)
и плантарный фасциит(рис.9).

Рис. 9 Плантарный фасциит (клиническая картина)
Клинически характеризуются болями при опоре на пятку, отеком, что обусловлено прежде всего изменениями в мягких тканях – воспалением указанных фибриллярных структур, прилежащих к ним глубоких слизистых сумок (преахиллярной, ретроахиллярнорной и подпяточной) и явлениями периостита.
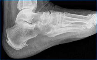
У пациентов пожилого возраста могут быть обнаружены пяточные шпоры как следствие инволютивных изменений в стопе. Это костные разрастания в виде шипа или клина в области энтезиса ахиллова сухожилия или подошвенной фасции. Подобные изменения могут быть визуализированы как рентгенологически (рис.10), так и эхографически (рис. 11).

Рис. 10. Пяточная шпора (рентгенологическая картина)

Рис. 11. Пяточная шпора (ультразвуковая картина)
Проблема коморбидности у пациентов старшей возрастной группы заслуживает отдельного подробного обсуждения. Известно, что причиной болей, отека, судорог, онемения в ногах может служить не только сосудистая и костно-суставная патология в нижних конечностях, но и заболевания сердца, почек, щитовидной железы, электролитные нарушения, проблемы неврологического характера и многое другое.
В этой связи значение современных методов медицинской визуализации трудно переоценить. УЗД является доступным, высокоинформативным, не занимающим много времени и не требующим сложной подготовки больного методом исследования.
Благодаря отсутствию ионизирующей радиации, становится возможным проведение исследований у детей, беременных женщин, облегчается проведение повторных исследований.
УЗИ дает возможность оценить структуру, взаиморасположение, объем и наличие патологических образований в органах и тканях организма, подвижность обнаруженных структур, их изменение в динамике.
Информативно при сочетанной патологии, помогает в дифференциации трудных диагнозов и является важным методом исследования в экстренной диагностике острой патологии, требующей оперативного лечения.
Ключевые слова: артрит, синовит, бурсит, тромбоз, тромбофлебит, отек ног, судороги, УЗИ, вены нижних конечностей, суставы, боль в ноге, варикозная болезнь, киста Бейкера, флеболог, ревматолог

